Ваш город:
En
Ваш город:
Круглосуточно, без выходных:


кот хромает

кот хромает
vikaspb2008 Написать
vikaspb2008 Пользователь
санкт-петербург Был в сети: 05 февраля, 17:21
Здравствуйте, кот скотиш фолд, кастироиван, вес стабильный 4,5 кг, корм сухой премиум класса, 6 лет.
Периодически хромает после долгого лежания.Около 10 дней хромота не прошла, стал не наступать на переднюю лапу-ходит на трех. Повели в к врачу, при осмотре спокоен. Сделали снимок-врач сказал, что был когда-то компрессионный перелом лучевой кости, сказал, что кот хоить нормально больше не будет. Нужно еще мнение, посмотрите снимок, пожалуйста.
17 января 2017, 14:52
Галенко Евгения Валерьевна Написать
Галенко Евгения Валерьевна Врач визуальной диагностики
Москва Был в сети: 02 апреля, 18:34
Добрый день! не вижу перелома на этом снимке. Нужна еще прямая проекция. Боль именно в запястном суставе?
17 января 2017, 14:54
vikaspb2008 Написать
vikaspb2008 Пользователь
санкт-петербург Был в сети: 05 февраля, 17:21
Здравствуйте, спасибо большое за быстрый ответ!
К сожалению не знаем, где болит-реакции на пальпацию и энергичные движения в суставах не выявили. Именно на этом снимке врач мне указал на компрессию кости-как он сказал кость посередине должна быть квадратная, а она стала треугольной... Я сама нашла атлас посмотрела, что это нормальный вид лучевой кости.
Может быть Вы видите что-то не то на этом снимке? Может сустав? Мы были у другого врача, он снимки читать не может, сказал, что вроде не видит перелома, но точно сказать не может- предположил заболевание сустава-уколы нестероидные, кальций и пьем страйт глюкозамин с хндроитином. Второй врач зафиксировал лангеткой ногу коту. Других снимков не записали, хотя я видела в прямой проекции.
17 января 2017, 17:04
vikaspb2008 Написать
vikaspb2008 Пользователь
санкт-петербург Был в сети: 05 февраля, 17:21
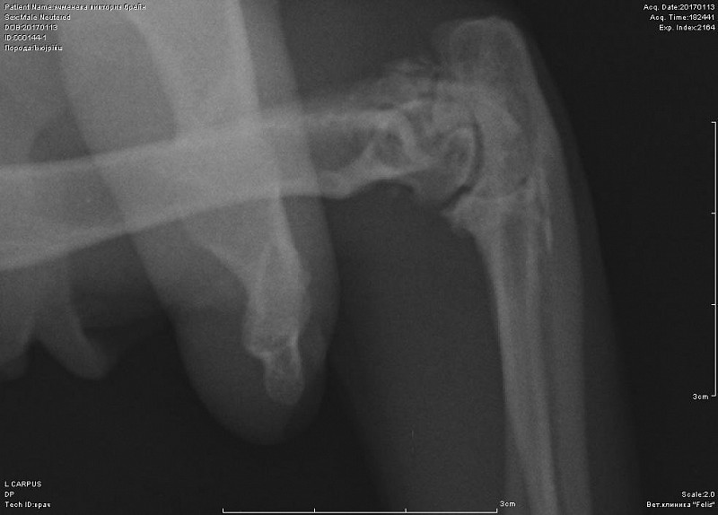
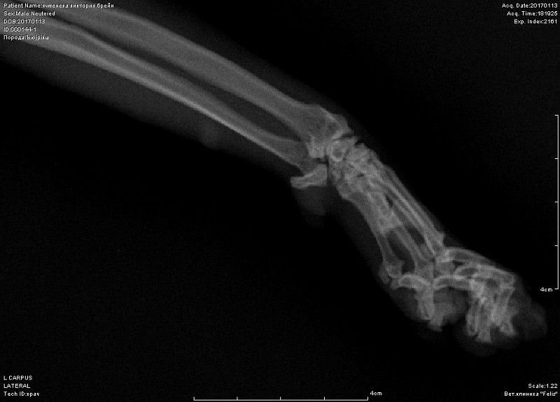
вот такой снимок целиком-первое фото-это я увеличила, может быть другие суставы на этой лапе Вы тоже посмотрите. А также, пожалуйста, порекомендуйте кому можно показать кота в спб, может Вы знаете.
17 января 2017, 17:09
vikaspb2008 Написать
vikaspb2008 Пользователь
санкт-петербург Был в сети: 05 февраля, 17:21
Вот снимок, посмотрите, пожалуйста.
29 января 2017, 16:52
Галенко Евгения Валерьевна Написать
Галенко Евгения Валерьевна Врач визуальной диагностики
Москва Был в сети: 02 апреля, 18:34
По-прежнему не вижу перелома, но последнее изображение увеличить не могу.
хорошая клиника в СПб с грамотными хирургами - клиника доктора Сотникова.
31 января 2017, 10:29
vikaspb2008 Написать
vikaspb2008 Пользователь
санкт-петербург Был в сети: 05 февраля, 17:21
Спасибо за ответ, вот увеличила все.
02 февраля 2017, 13:34
vikaspb2008 Написать
vikaspb2008 Пользователь
санкт-петербург Был в сети: 05 февраля, 17:21
еще
02 февраля 2017, 13:35
Галенко Евгения Валерьевна Написать
Галенко Евгения Валерьевна Врач визуальной диагностики
Москва Был в сети: 02 апреля, 18:34
вот в запястном суставе не вижу изменений.А вот локтевом есть признаки артроза. Но все же это не прямая и даже не боковая проекция локтя.
04 февраля 2017, 15:46
vikaspb2008 Написать
vikaspb2008 Пользователь
санкт-петербург Был в сети: 05 февраля, 17:21
Спасибо, пойдем в клинику Сотникова. Еще раз спасибо, сняли с кота хоть лангетку с запястного сустава, чтобы не мучать.
05 февраля 2017, 16:21

Только зарегистрированные пользователи имеют возможность начинать новые темы. Зарегистрируйтесь и войдите на сайт, введя свои логин и пароль справа в окне, и Вы сможете начать новую тему.

Прежде чем задать вопрос на форуме, ознакомьтесь с темой: "Как правильно задать вопрос вет.врачу", а также со списком ответов на часто задаваемые вопросы, это поможет Вам сэкономить Ваше время и быстрее получить ответ на Ваш вопрос.
Обратите особое внимание на документ: Симптомы заболеваний животных. Возможно, в Вашей ситуации нельзя ожидать ответа на форуме, а нужно срочно вызывать врача или везти животное в ветеринарную клинику!

Прежде чем задать вопрос на форуме, ознакомьтесь со следующими разделами, это поможет сэкономить Ваше время и быстрее получить отсвет на ваш вопрос:

Внимание! Обратите особое внимание на документ «Симптомы заболеваний животных». Возможно, в Вашей ситуации нельзя ожидать ответа на форуме, а нужно срочно вызывать врача или везти животное в ветеринарную клинику!

Удалить тему

Удалить тему "кот хромает"?

Удалить сообщение

Удалить сообщение?