Ваш город:
En
Ваш город:
Круглосуточно, без выходных:


Дисплазия у щенка немецкой овчарки

Дисплазия у щенка немецкой овчарки
SeraphimKa Написать
SeraphimKa Пользователь
Был в сети: 31 июля, 21:51
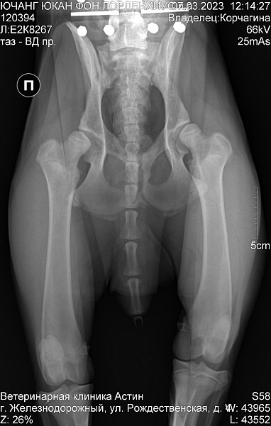
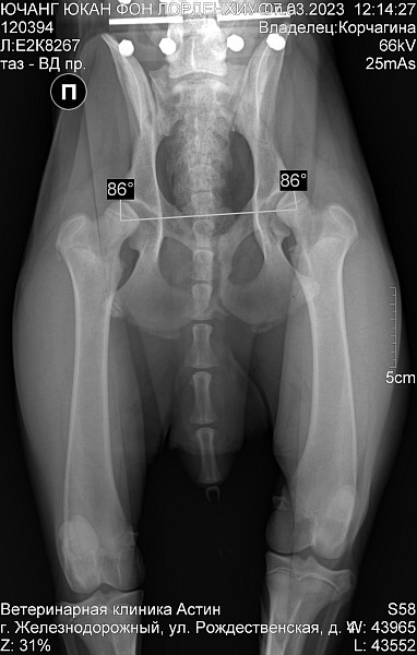
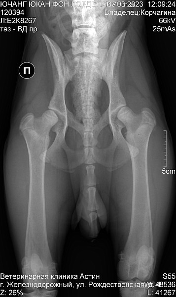
Немецкая овчарка. Кобель.
Др 29 07 2022

Обработка от паразитов по графику, прививки также.
Питался кормом Monge для щенков, потом перешли на корм GO.


С первого дня дома бегал как заяц, на первых прогулках подтвердился такой бег. С трудом встаёт, перенося вес на передние лапы. Хромает спустя 10 минут прогулки.

Врачи в городе не дают внятных ответов и заключений. Хочется узнать имеется ли на снимке дисплазия?
31 июля 2023, 21:51
Фатахов Курбан Фатахович Написать
Фатахов Курбан Фатахович Хирург
Стоматолог
Москва Был в сети: 15 апреля, 11:40
Добрый день. Двустороння дисплазия тазобедренных суставов. Рекомендован прием ортопеда и имплантация суставов
26 марта 2026, 11:54

Только зарегистрированные пользователи имеют возможность начинать новые темы. Зарегистрируйтесь и войдите на сайт, введя свои логин и пароль справа в окне, и Вы сможете начать новую тему.

Прежде чем задать вопрос на форуме, ознакомьтесь с темой: "Как правильно задать вопрос вет.врачу", а также со списком ответов на часто задаваемые вопросы, это поможет Вам сэкономить Ваше время и быстрее получить ответ на Ваш вопрос.
Обратите особое внимание на документ: Симптомы заболеваний животных. Возможно, в Вашей ситуации нельзя ожидать ответа на форуме, а нужно срочно вызывать врача или везти животное в ветеринарную клинику!

Прежде чем задать вопрос на форуме, ознакомьтесь со следующими разделами, это поможет сэкономить Ваше время и быстрее получить отсвет на ваш вопрос:

Внимание! Обратите особое внимание на документ «Симптомы заболеваний животных». Возможно, в Вашей ситуации нельзя ожидать ответа на форуме, а нужно срочно вызывать врача или везти животное в ветеринарную клинику!

Удалить тему

Удалить тему "Дисплазия у щенка немецкой овчарки "?

Удалить сообщение

Удалить сообщение?