Ваш город:
En
Ваш город:
Круглосуточно, без выходных:


Опухоль на мордочке у кошки

Опухоль на мордочке у кошки
ChildOfWind Написать
ChildOfWind Пользователь
Нижний Новгород
Здравствуйте.
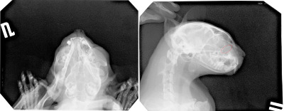
Выкладываю два рентгеновских снимка моей кошки. На одном из них кошка лежит на пластине правым боком. Другой снимок - она лежит на пластине подбородком (не совсем ровно, правда). На снимке сбоку опухоль обведена красным. На другом снимке не стал обводить, т.к. боюсь соврать - не вижу точно, где то место.
Симптомы: началось с того, что начал постоянно слезиться левый глаз (впервые это заметил в июле - начале августа). Потом на мордочке с левой стороны носа появилась небольшая шишка (впервые заметил числа 11-го сентября). Наощупь твёрдая. Двое врачей, которые щупали, сказали, что это явно новообразование на кости. Один врач сказал, что видит под левым глазом небольшую отёчность (я этого, правда, не земечаю). По моим впечатлением, у кошки затруднено дыхание через левую ноздрю. Иногда она как-то странно отхаркивается и чихает - раньше такого не было. Других изменений в поведении нет, выглядит не менее бодрой, чем до болезни.
Кошке около 14 лет. Шишка с момента, когда я её впервые заметил, не увеличивается, или же увеличивается незаметно.
Болезненных ощущений при прикосновении к шишке, видимо, кошка не испытывает.
На основе двух упомянутых рентгеновских снимков и вышеописанных симптомов был поставлен диагноз. У меня он вызывает сомнения, поэтому решил проконсультироваться через интернет с другими ветеринарами.
Каково ваше мнение? Я специально не буду говорить, какой диагноз поставили, чтобы не мешать вам делать собственные выводы. Вы располагаете полностью той же информацией, что и врачи, к которым я обращался.
Снимки прикреплены к данному сообщению
30 сентября 2010, 00:36
danyfilth Написать
danyfilth Пользователь
Воронеж Был в сети: 22 апреля, 23:25
Здравствуйте! Очень вам сочувствую,т.к. у меня очень похожая ситуация. Только твердая опухоль находится между ушками и никаких неудобств коту не причиняет. Была у трех врачей, у всех разные мнения и способы лечения, совсем запуталась, из-за переживаний от неизвестности и того, что одна из врачей вообще мне сказала, просто посмотрев на снимки: "а что вы хотели, кот старый, умрет, так умрет", даже сама заболела. Хорошо, что у меня мама врач, хоть и человеческий, живет в Москве, она проконсультировалась с опытным рентгенологом, работающим в онкоцентре, он сказал, что по снимкам только видна костная патология, и это не обязательно что-то страшное или смертельное. Только рентгена недостаточно, чтобы определить тип опухоли и назначить грамотное лечение, в том числе хирургическое. Вполне возможно, что это остеома, они часто располагаются на костях черепа и лица, в том числе и у людей, это доброкачественное образование. Я буду надеяться, что у моего кота именно она и есть, если она не будет расти внутрь, то ничего страшного нет. Может и у вашей кошечки тоже самое. Я стараюсь верить в лучшее, вы тоже верьте!!!! Это важно очень. Как я поняла, у вас тоже есть сомнения в диагнозе и методах лечения! Будем надеяться, что здесь нам тоже дадут совет! Мама сказала, что без нее ни на какие операции соглашаться не надо, она приедет и сама займется хожением по врачам и диагностикой, все-таки она понимает во всем этом (анализах и диагнозах), в отличие от меня.Я обязательно напишу вам, о результатах и о том, какие методы исследования образования мы применяли, может быть вам это хоть как-то поможет, даст ориентир. Если вам не сложно, то сообщите мне о том, какое лечение назначили вам и какой диагноз поставили. Спасибо заранее, удачи вам и честных, добрых врачей!
02 октября 2010, 01:15
danyfilth Написать
danyfilth Пользователь
Воронеж Был в сети: 22 апреля, 23:25
И еще, рентгенолог сказал, что злокачественные костные образования растут очень быстро, и появляются другие признаки - увеличение лимфоузлов, потеря аппетита, боли, изменение поведения, метастазы и пр., так что это будет заметно сразу. Он же порекомендовал сделать рентген всего тела и МРТ, чтобы посмотреть нет ли еще образований. У моего ничего нет по рентгену, правда МРТ еще не делала, но буду делать.
02 октября 2010, 01:25
ChildOfWind Написать
ChildOfWind Пользователь
Нижний Новгород
Здравствуйте.
Благодарю вас за сочувствие.
Моей кошке в двух разных клиниках поставили диагноз остеосаркома. Но это лишь с определённой долей вероятности, т.к. анализ не делали, сказав, что если это действительно саркома, то малейшее вмешательство приведёт к её очень быстрому росту. В первой клинике прописали уколы лигфола + курс АСД фракци 2 + цитостаты. Во второй клинике (с самыми хорошими врачами) отсоветовали делать лигфол, т.к. он даёт сильную интоксикацию организма и может навредить не меньше, чем саркома. Сейчас каждый день заливаю бедной кошке в глотку АСД. Курс занимает 23 дня, потом недели 2 отдыха, потом всё по-новой. В общем, через какое-то время повезу её опять на рентген, посмотрим, как эта дрянь растёт.
04 октября 2010, 15:27
danyfilth Написать
danyfilth Пользователь
Воронеж Был в сети: 22 апреля, 23:25
Мне сказали только, что это костная патология, возможно злокачественная, возможно нет... а что именно ХЗ, они ж разные бывают. вот и думай, что хочешь. Как-то странно, если у человека это, то ставят точный диагноз, а у котов одни догадки... Нам тоже назначили лигфол. Удачи Вам, мы будем обследоваться дальше, может все-таки установим точный диагноз. кстати, рентген у нас очень похож. Не отчаивайтесь, ведь вам сказали, "если действительно", значит не точно!
04 октября 2010, 21:00
danyfilth Написать
danyfilth Пользователь
Воронеж Был в сети: 22 апреля, 23:25
Здравствуйте, не знаю, что у вас, у меня кот умер, плачу - не могу, единственное, что радует, он совсем не страдал, умер быстро и неожиданно, надеюсь, у вас будет благополучный исход
30 октября 2010, 22:41
lapshin Написать
lapshin Пользователь
Красногорск Был в сети: 13 марта, 10:21
Здравствуйте/rn/
/rn/
Качество данных снимков не позволяет мне говорить о верности или не верности поставленного вам диагноза./rn/
/rn/
В вашем случае для определения лизиса костной структуры можно рекомендовать компьютерную томографию./rn/
С целью определения типа новообразования следует провести биопсию костных структур( это единственный способ подтверждения диагноза - остеосаркома).
31 октября 2010, 07:09

Только зарегистрированные пользователи имеют возможность начинать новые темы. Зарегистрируйтесь и войдите на сайт, введя свои логин и пароль справа в окне, и Вы сможете начать новую тему.

Прежде чем задать вопрос на форуме, ознакомьтесь с темой: "Как правильно задать вопрос вет.врачу", а также со списком ответов на часто задаваемые вопросы, это поможет Вам сэкономить Ваше время и быстрее получить ответ на Ваш вопрос.
Обратите особое внимание на документ: Симптомы заболеваний животных. Возможно, в Вашей ситуации нельзя ожидать ответа на форуме, а нужно срочно вызывать врача или везти животное в ветеринарную клинику!

Прежде чем задать вопрос на форуме, ознакомьтесь со следующими разделами, это поможет сэкономить Ваше время и быстрее получить отсвет на ваш вопрос:

Внимание! Обратите особое внимание на документ «Симптомы заболеваний животных». Возможно, в Вашей ситуации нельзя ожидать ответа на форуме, а нужно срочно вызывать врача или везти животное в ветеринарную клинику!

Удалить тему

Удалить тему "Опухоль на мордочке у кошки"?

Удалить сообщение

Удалить сообщение?