Ваш город:
En
Ваш город:
Круглосуточно, без выходных:


Расслаивающий остеохондрит плечевого сустава? Нужна консультация врача!

Расслаивающий остеохондрит плечевого сустава? Нужна консультация врача!
Троцик Мария Написать
Троцик Мария Пользователь
Был в сети: 01 июля, 20:11
Здравствуйте. Проконсультируйте, пожалуйста.
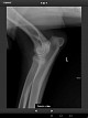
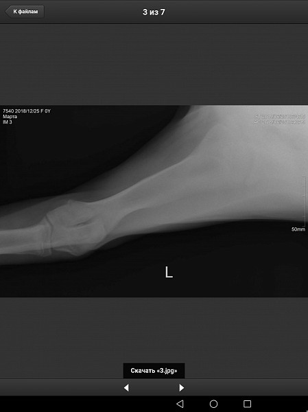
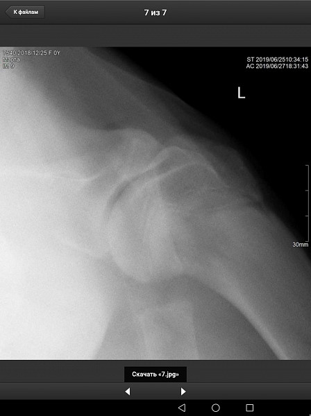
У нас немецкий дог, девочка, 6 месяцев, привита по возрасту. Поставлен диагноз Расслаивающий остеохондрит плечевого сустава (мышь плечевого сустава). Сказали, нужна операция по зачищению этого сустава. Как можно скорее.
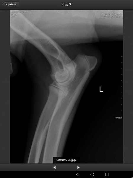
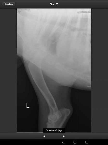
Есть рентгеновский снимок. Прошу вас прокомментировать его, правильный ли диагноз? Как срочно нужно оперировать, если подтвердится диагноз? Какой период реабилитации? И, что нас ожидает в будущем, от чего могла развиться болезнь, наследственное это или нет, что делать, чтобы предупредить заболевание суставов других лап?
Из симптомов, почему обратилась к врачам: стала хромать, иногда подволакивать эту лапку, тут же может начать скакать или побеждать играть с детьми/собаками. Ночью поскуливает, когда спит на больном боку. По утрам прихрамывает на эту лапку, требуется расходиться.. (17 июня началась хромота)
Ест Грандорф для крупных пород, с ягненком и рисом. Сейчас, в жару, когда отказывается от корма, согласна есть творожок с кефиром. Иногда говядина, кур грудка. Часто желатиновые косточки жует. Травматолог-ортопед сказал, никаких хондро добавок не нужно давать, хватит и корма.. И, правда ли, операция решит проблему с этим суставом навсегда?
01 июля 2019, 20:05
Шпак Владислав Николаевич Написать
Шпак Владислав Николаевич Ведущий хирург
Хирург
Невролог
Москва Был в сети: 20 сентября, 17:58
Здравствуйте. Судя по описываемым вами симптомам у собаки, действительно имеется поражения хрящевой поверхности какого-то сустава грудой конечности. На предоставленных вами снимках, затруднительно тщательно рассмотреть суставные поверхности. Ярко выраженной патологии хряща (расслаивающий остеохондрит не просматривается). Для подтверждения или исключения данной патологии наиболее оптимальным является компьютерная томография. При подтвтерждении диагноза, основным методом лечения является хирургическое вмешательство, направленное на устранение фрагментированного участка хряща и зачищении дефекта для формирования на месте поражения волокнистого хряща.
К сожалению, волокнистый хрящ не может полноценно заменить утраченный фрагмент хрящевой ткани. В дальнейшем, в поврежденном хряще неизбежно развивается артроз. Операция же позволяет устранить поражение и предотвращает распространения повреждения, но не восстанавливает сустав полностью. При соблюдении профилактических мер (контроль активности, контроль массы, использование хондропротективных препаратов и кормов) позволяет максимально затормозить развитие артрозных изменений в суставе.
09 августа 2019, 14:29

Только зарегистрированные пользователи имеют возможность начинать новые темы. Зарегистрируйтесь и войдите на сайт, введя свои логин и пароль справа в окне, и Вы сможете начать новую тему.

Прежде чем задать вопрос на форуме, ознакомьтесь с темой: "Как правильно задать вопрос вет.врачу", а также со списком ответов на часто задаваемые вопросы, это поможет Вам сэкономить Ваше время и быстрее получить ответ на Ваш вопрос.
Обратите особое внимание на документ: Симптомы заболеваний животных. Возможно, в Вашей ситуации нельзя ожидать ответа на форуме, а нужно срочно вызывать врача или везти животное в ветеринарную клинику!

Прежде чем задать вопрос на форуме, ознакомьтесь со следующими разделами, это поможет сэкономить Ваше время и быстрее получить отсвет на ваш вопрос:

Внимание! Обратите особое внимание на документ «Симптомы заболеваний животных». Возможно, в Вашей ситуации нельзя ожидать ответа на форуме, а нужно срочно вызывать врача или везти животное в ветеринарную клинику!

Удалить тему

Удалить тему "Расслаивающий остеохондрит плечевого сустава? Нужна консультация врача! "?

Удалить сообщение

Удалить сообщение?