Ваш город:
En
Ваш город:
Круглосуточно, без выходных:


Требуется ли резекция головки бедра?

Требуется ли резекция головки бедра?
Ксения_ Написать
Ксения_ Пользователь
Пермь
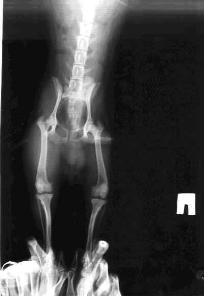
Собачке 9мес, вес - 2, 7кг, натуральный корм; прихрамывает, а иногда и полностью держит на весу заднюю лапку, присутствует атрофированние мышечной ткани задней лапки. Клиническое заключение врача - асептический некроз правой головки бедренной кости. Возможен ли консервативный метод лечения?
28 апреля 2010, 15:43
Ланкин И.А. Написать
Ланкин И.А. Пользователь
Москва Был в сети: 07 января, 17:36
Добрый день.
Снимок плохого качества, по нему невозможно поставить диагноз.
При болезни Пертеса консервативное лечение неэффективно.
30 апреля 2010, 13:16

Только зарегистрированные пользователи имеют возможность начинать новые темы. Зарегистрируйтесь и войдите на сайт, введя свои логин и пароль справа в окне, и Вы сможете начать новую тему.

Прежде чем задать вопрос на форуме, ознакомьтесь с темой: "Как правильно задать вопрос вет.врачу", а также со списком ответов на часто задаваемые вопросы, это поможет Вам сэкономить Ваше время и быстрее получить ответ на Ваш вопрос.
Обратите особое внимание на документ: Симптомы заболеваний животных. Возможно, в Вашей ситуации нельзя ожидать ответа на форуме, а нужно срочно вызывать врача или везти животное в ветеринарную клинику!

Прежде чем задать вопрос на форуме, ознакомьтесь со следующими разделами, это поможет сэкономить Ваше время и быстрее получить отсвет на ваш вопрос:

Внимание! Обратите особое внимание на документ «Симптомы заболеваний животных». Возможно, в Вашей ситуации нельзя ожидать ответа на форуме, а нужно срочно вызывать врача или везти животное в ветеринарную клинику!

Удалить тему

Удалить тему "Требуется ли резекция головки бедра?"?

Удалить сообщение

Удалить сообщение?