Ваш город:
En
Ваш город:
Круглосуточно, без выходных:


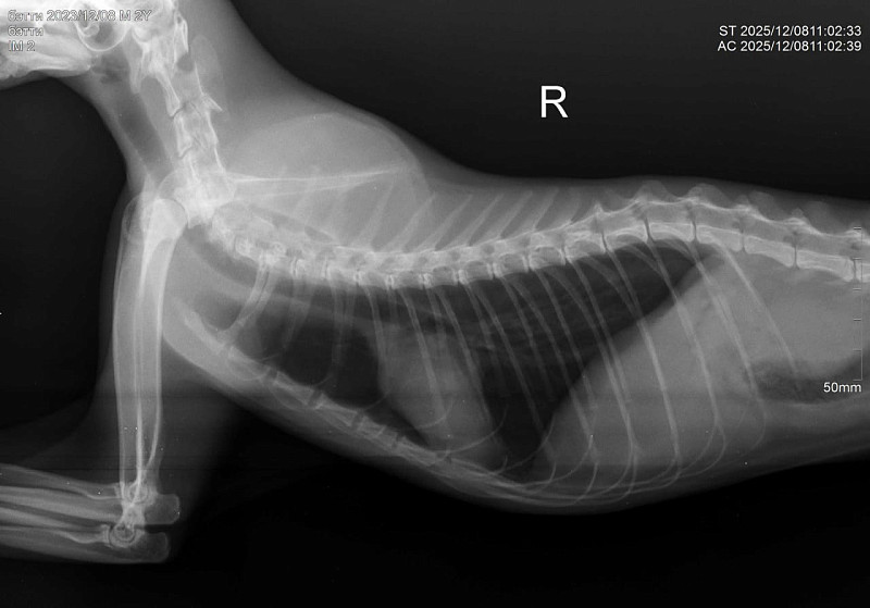
У кошки ЧМТ сильное истощение

У кошки ЧМТ сильное истощение
RomaVerba Написать
RomaVerba Пользователь
Был в сети: 13 декабря, 18:38
Здравствуйте! У нас кошка 10 дней находилась на улице. Через 10 дней вернулась никакая, сильное истощение, дезориентация. Кошка ходит и стукаетсях, как будто потеря в пространстве. Самостоятельно питаться не может. Повезли в ветеринарке, сделали рентген, говорят возможно ЧМТ или оттек головного мозга. Выписали препараты. Кормим со шприца, сейчас уже чуть бодрее стала, дней пять прошло после визита в ветеринару. Аппетит хороший. Но самостоятельно есть не может, зрительный рефлекс слабый. Глазки чистые.

13 декабря 2025, 18:06

Только зарегистрированные пользователи имеют возможность начинать новые темы. Зарегистрируйтесь и войдите на сайт, введя свои логин и пароль справа в окне, и Вы сможете начать новую тему.

Прежде чем задать вопрос на форуме, ознакомьтесь с темой: "Как правильно задать вопрос вет.врачу", а также со списком ответов на часто задаваемые вопросы, это поможет Вам сэкономить Ваше время и быстрее получить ответ на Ваш вопрос.
Обратите особое внимание на документ: Симптомы заболеваний животных. Возможно, в Вашей ситуации нельзя ожидать ответа на форуме, а нужно срочно вызывать врача или везти животное в ветеринарную клинику!

Прежде чем задать вопрос на форуме, ознакомьтесь со следующими разделами, это поможет сэкономить Ваше время и быстрее получить отсвет на ваш вопрос:

Внимание! Обратите особое внимание на документ «Симптомы заболеваний животных». Возможно, в Вашей ситуации нельзя ожидать ответа на форуме, а нужно срочно вызывать врача или везти животное в ветеринарную клинику!

Удалить тему

Удалить тему "У кошки ЧМТ сильное истощение"?

Удалить сообщение

Удалить сообщение?