Ваш город:
En
Ваш город:
Круглосуточно, без выходных:


Странные движения челюстью

Странные движения челюстью
ulrealist Написать
ulrealist Пользователь
Был в сети: 09 февраля, 16:56
Добрый день! Помогите, пожалуйста,
Кошка при попытке поесть/ попить немного ест, но потом делает вот такие странные движения языком, челюстью. Ветеринар осмотрел, гингивит, галитоз. Ставит хпн? Говорит, что первично сейчас хпн. Но кошка была активна, и неделю назад резко стала отказываться от еды, меньше пить, ощущение, что ей просто больно это делать.
У кошки аппетит есть, она часто подходит, чтобы поесть, но потом вот такие движения и она отбегает от еды. (видео приложила)
Посмотрите, пожалуйста, исходя из вашего опыта
08 февраля 2026, 00:21
Фатахов Курбан Фатахович Написать
Фатахов Курбан Фатахович Хирург
Стоматолог
Москва Был в сети: 19 апреля, 11:05
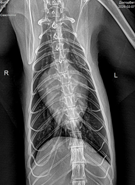
Здравствуйте. Вам нужно провести адекватную оценку ротовой полости. На видео видно, что есть какой то дискомфорт в ротовой полости. Рекомендую вам прием стоматолога. По рентген снимку наблюдается матовость брюшной полости. Рекомендую сделать УЗИ брюшной полости. При почечной недостаточности может быть в том числе уремический стоматит, но это нужно диагностировать визуально и лабораторными тестами
15 марта 2026, 09:55

Только зарегистрированные пользователи имеют возможность начинать новые темы. Зарегистрируйтесь и войдите на сайт, введя свои логин и пароль справа в окне, и Вы сможете начать новую тему.

Прежде чем задать вопрос на форуме, ознакомьтесь с темой: "Как правильно задать вопрос вет.врачу", а также со списком ответов на часто задаваемые вопросы, это поможет Вам сэкономить Ваше время и быстрее получить ответ на Ваш вопрос.
Обратите особое внимание на документ: Симптомы заболеваний животных. Возможно, в Вашей ситуации нельзя ожидать ответа на форуме, а нужно срочно вызывать врача или везти животное в ветеринарную клинику!

Прежде чем задать вопрос на форуме, ознакомьтесь со следующими разделами, это поможет сэкономить Ваше время и быстрее получить отсвет на ваш вопрос:

Внимание! Обратите особое внимание на документ «Симптомы заболеваний животных». Возможно, в Вашей ситуации нельзя ожидать ответа на форуме, а нужно срочно вызывать врача или везти животное в ветеринарную клинику!

Удалить тему

Удалить тему "Странные движения челюстью "?

Удалить сообщение

Удалить сообщение?