Ваш город:
En
Ваш город:
Круглосуточно, без выходных:


Кошка тяжело дышит и почти не ест

Кошка тяжело дышит и почти не ест
AlexeyN Написать
AlexeyN Пользователь
Был в сети: 20 августа, 10:40
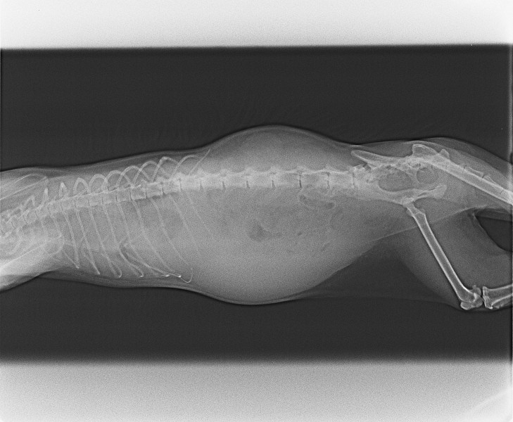
Добрый день. Пишу по просьбе хозяйки кошки. Около месяца назад 6-летняя кошка стала мало двигаться. Дышит с трудом животом. Практически ничего не ест, но пьет воду. Видимо, есть небольшое кровотечение в районе живота или груди, потому что на коврике остаются следы крови. Не идет на руки с детства, поэтому нет возможности взять в руки и проверить. С трудом отвезли к врачу и сделали снимки. Подозрение на травму внутренних органов. Прикладываю снимки. Можно ли что-то определить по ним? Можно ли спасти кошку и какой может быть диагноз? Спасибо.
20 августа 2021, 10:40
Горбачева Анна Алексеевна Написать
Горбачева Анна Алексеевна Терапевт
Москва Был в сети: 03 августа, 16:02
Добрый день. Для интерпретации снимка лучше написать в раздел визуальной диагностики.
предварительно по снимку в грудной полости есть свободная жидкость, также возможно и в брюшной полости. Тут нужны не только снимки, но и полноценный очный осмотр. Нужно понять, что кровит. Это может быть новообразование молочных желез, например. Также нужно сдать анализы крови на общий клинический и биохимию. Диагнозы в такой ситуации могут быть разные, метастазы в грудной клетке и выпотной плеврит, вирусный перитонит кошек, хроническая сердечная недостаточность и другие. Лечение и прогноз зависят от причины. Ситуация тяжелая и однозначно требует точного понимания и очного приема.
22 августа 2021, 21:55

Только зарегистрированные пользователи имеют возможность начинать новые темы. Зарегистрируйтесь и войдите на сайт, введя свои логин и пароль справа в окне, и Вы сможете начать новую тему.

Прежде чем задать вопрос на форуме, ознакомьтесь с темой: "Как правильно задать вопрос вет.врачу", а также со списком ответов на часто задаваемые вопросы, это поможет Вам сэкономить Ваше время и быстрее получить ответ на Ваш вопрос.
Обратите особое внимание на документ: Симптомы заболеваний животных. Возможно, в Вашей ситуации нельзя ожидать ответа на форуме, а нужно срочно вызывать врача или везти животное в ветеринарную клинику!

Прежде чем задать вопрос на форуме, ознакомьтесь со следующими разделами, это поможет сэкономить Ваше время и быстрее получить отсвет на ваш вопрос:

Внимание! Обратите особое внимание на документ «Симптомы заболеваний животных». Возможно, в Вашей ситуации нельзя ожидать ответа на форуме, а нужно срочно вызывать врача или везти животное в ветеринарную клинику!

Удалить тему

Удалить тему "Кошка тяжело дышит и почти не ест"?

Удалить сообщение

Удалить сообщение?