Ваш город:
En
Ваш город:
Круглосуточно, без выходных:


Собака не ходит в туалет по большому...

Собака не ходит в туалет по большому...
zvet04ek Написать
zvet04ek Пользователь
Краснокаменск
Здравствуйте. у меня собака - сука, пекинес, возраст 10,5 лет. 4 дня назад появилась вялость, собака мало двигается, запор, иногда поскуливает если взять на руки, и трясется. Вчера ездили к ветеринару, сказали, что собака очень жирная, и что проблема с ЖКТ, так как живот даже прощупать не может - очень твердый. Выписали поставить но-шпу по 0,7 мл. 2 раза в день, таблетки уголь активированный по 1 шт. 2 раза в день, масло касторовое 1 ч.л., таблетки сенаде дать. На ночь дала ей сенаде и таблетку угля, утром сделала укол и масло 1 ч.л., в обед сделали ей клизму мыльной водой и пошли на улицу. Вода вышла и с ней немного кала, но очень мало. При прощупывании живота с одной стороны скулит. В обед дала еще ложечку масла, сейчас сделали еще раз клизму...сейчас она на улице... сегодня днем 1 раз была рвота (чем не знаю, дома меня не было). что с собакой? и что можно еще сделать? и как долго можно еще ждать пока она сходит в туалет? (как быстро вообще должно помочь масло и таблетки?)
02 октября 2012, 13:19
Santina Написать
Santina Пользователь
Десногорск Был в сети: 07 августа, 16:41
При запоре лучше давать вазелиновое масло 3 раза в день не более 3 дней. Помогает без клизмы в течении суток. При частых запорах можно давать лактусан и включить в рацион овощи.
И сделать УЗИ брюшной полости и УЗИ матки (исключить пиометру)
02 октября 2012, 13:45
Чекмарёва Т.А. Написать
Чекмарёва Т.А. Пользователь
Москва Был в сети: 01 февраля, 19:47
Добрый день! Чтобы убедиться, что у собаки копростаз(запор), сделайте рентген.снимок брюшной полости и разместите на форуме. Учитывая возраст собаки, необходимо провести полное обследование, включающее в себя анализы крови ОКА и БХ, УЗИ брюшной полости..
Собака вакцинирована?
Также рекомендую сдать кровь на пироплазмоз.
02 октября 2012, 17:37
zvet04ek Написать
zvet04ek Пользователь
Краснокаменск
здравствуйте! собака вакцинирована в детстве по возрасту ( я не помню во сколько месяцев), ежегодные вакцинации - нет. Про обследование конечно узнаю, но не думаю, что у нас в городе это все можно сделать. Вчера ближе к ночи появились позывы у собаки в туалет, сходила несколько раз, жидко...еще была рвота, 2 раза...ест мало...сегодня рвоты не было, но и стула тоже...такая же вялая, и ходит как-то неправильно (сгорбив спину, если так можно выразится).
03 октября 2012, 13:48
1642004@mail.ru Написать
1642004@mail.ru Пользователь
Кубинка, Московская обл.
Здравствуйте, а травмы не было у собачки никакой? Сколько дней длится такое состояние?
03 октября 2012, 13:53
zvet04ek Написать
zvet04ek Пользователь
Краснокаменск
травм не было, сегодня 5 день такое...сейчас к вечеру она вроде бы повеселела, покушала немного, даже поиграла...надеюсь, все обойдется ...
03 октября 2012, 17:28
Жустьен Бис Написать
Жустьен Бис Пользователь
Санкт-Петербург
грамотная клизма это типа человеческого эсмарха. хороший вет врач сделает ее без проблем и вымоет кишечник за 30-40 минут. После клизмы туда же ввести вазелиновое масло. А простыми "кончиками" в попку это не эффективно
03 октября 2012, 17:31
1642004@mail.ru Написать
1642004@mail.ru Пользователь
Кубинка, Московская обл.
Да, без обследования здесь не обойтись, вариантов очень много, от запора помагает дюфалак, чайную ложечку, действует где-то часов через 8-12. Вообще у нас была ситуация, когда тоже думали на запор и живот при пальпации казался твердым, так он оказался твердым из-за перенапряжения мышц, а не из-за забитого кишечника, у нас врач (другой уже) проверял животик поднимая собачку за шкирку (как кота) и щупал живот, в таком состоянии он был мягким, проблема в итоге вообще оказалась в позвоночнике, но это у нас, я говорю все к тому, что обычный осмотр может быть неинформативным, необходимо хотябы сделать рентген и сдать кровь на анализ.
03 октября 2012, 17:53
zvet04ek Написать
zvet04ek Пользователь
Краснокаменск
ну вот как я и говорила никакого обследования у нас не сделаешь...
06 октября 2012, 10:25
zvet04ek Написать
zvet04ek Пользователь
Краснокаменск
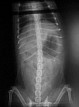
наконец то сделали снимки с таким трудом...посмотрите пожалуйста !!! собака все такая же, в туалет никак...таблетками ее накормить большая проблема...может что в уколах ???
11 октября 2012, 16:17

Только зарегистрированные пользователи имеют возможность начинать новые темы. Зарегистрируйтесь и войдите на сайт, введя свои логин и пароль справа в окне, и Вы сможете начать новую тему.

Прежде чем задать вопрос на форуме, ознакомьтесь с темой: "Как правильно задать вопрос вет.врачу", а также со списком ответов на часто задаваемые вопросы, это поможет Вам сэкономить Ваше время и быстрее получить ответ на Ваш вопрос.
Обратите особое внимание на документ: Симптомы заболеваний животных. Возможно, в Вашей ситуации нельзя ожидать ответа на форуме, а нужно срочно вызывать врача или везти животное в ветеринарную клинику!

Прежде чем задать вопрос на форуме, ознакомьтесь со следующими разделами, это поможет сэкономить Ваше время и быстрее получить отсвет на ваш вопрос:

Внимание! Обратите особое внимание на документ «Симптомы заболеваний животных». Возможно, в Вашей ситуации нельзя ожидать ответа на форуме, а нужно срочно вызывать врача или везти животное в ветеринарную клинику!

Удалить тему

Удалить тему "Собака не ходит в туалет по большому..."?

Удалить сообщение

Удалить сообщение?