Ваш город:
En
Ваш город:
Круглосуточно, без выходных:


уро цистит у кошки

уро цистит у кошки
alisa003 Написать
alisa003 Пользователь
Санкт-Петербург Был в сети: 01 июня, 20:44

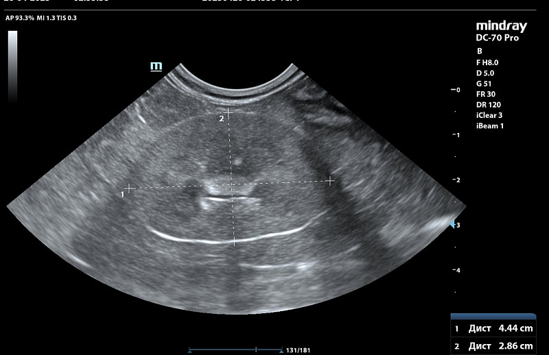
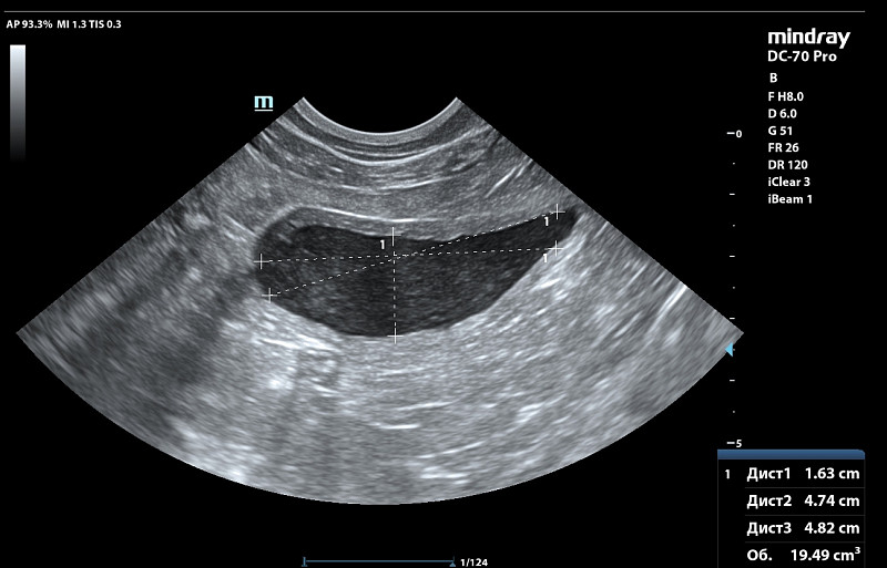
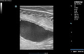
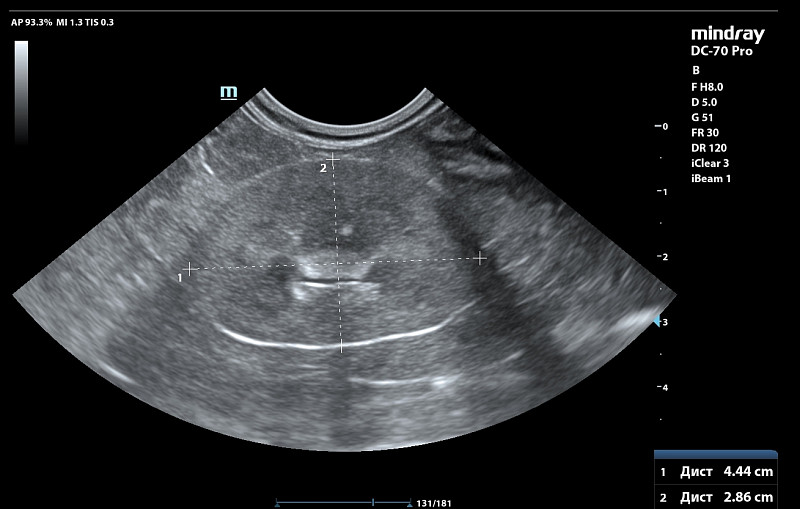
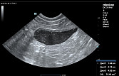
Здравствуйте! У абиссинской кошки, она астматик почти всю жизнь с дества на ингаляциях.Ей около 12 лет. На натуральном питании (бедро индейки, куринная шейка, сердечки индейки и свиной язык (только он в вареном виде, 2 года назад на таком питании все было в норме в анализах биохимияя и анализ мочи, но последние 4 мес я увеличила процент мяса в отношении, давая его 3 раза в неделю вместо языка в котором меньше фосфора)). 1.5 мес назад заметила запах у мочи и я решила подавтаь кантарен и в конце курса 8 кап на 8 кг она нагадила на пол и заметили что и запах пошел у мочи и мутная уже. Писала она 2 раза в день по многу. Крови не было. Резко стала пить больше воды по чашке дней 10 до амоксиклав. Вес не теряла ни 100 гр. Решили раз ничего серьезного подавать фураданин 1/2 таб 2 раза в день. Сильный запах почти сразу ушел. но мутность еще была, на 6 день лечения она покакала частично с поносом и тужилась и хотела остатки стула выдавить каках, стали вытирать ее и тогда словно спазм и она сделала 3 коротких метки и потом легла и пошла кровь. Крови было много, шла из мочевого канала часа три пока кошку не заперли в переноскеи в покое отсановилась уже после вет клиники. Врач хирург сказал что кажется много, а для ее веса немного крови. Ночью в ветклинике сделали узи почек и мочевого, сказали есть возврастные изменения ( они были и 5 лет назад и почки работали ок при этом), но ничего прям критичного по почкам по узи, смотреть анализы, мочевой стенка 0.3 мм вместо 0.1мм в прошлом когда кошка была 5 кг еще худее и здорова.
Сдали анализы после 8 ч голода ( не давали фурадонин 13 ч до аналиаза) Все анализы сдано 8 ч голода и 13 ч после отмены фурадонина (давали до 6 дней с пропуском 1 дозы тк 1 раз дала целую таблетку и ее вырвало. Прилагаю анализы и узи со снимками. Температуры у кошки не было, в р-не 38.1.
Кошке поставили уроцистит , хпн и диабет 2 типа. На тот момент кошка ела, пила и ходила. Хпн сказали только инфузии, диабет инсулин, мочевая инфекция, посев мы не стали делать тк дорого и тогда врач назначила общего спектра амоксиклав. Доза 20 мг на кг в рот. И конрам 2 мг - 1/2 таблетки на ее 8 кг. Кошка ожирение 9 из 9. После первой дозы амоксиклав и конрам у кошки вместо снятия спазма просто пошло недержание мочи и мучились мы пока не вышел препарат, крови уже не было, но кошка явно расстроилась. Далее он не понадобился тк кровь прошла и спазм, кошка много пила и ходила 4 раз в сутки писать без меток итд. Без запаха и прозрачно желтый . Были рады. НО хуже всего что у нее резко пропал полностью апетит от обжорства до полного отказа от любимой еды. Только пила. Делали инфузии 60 мл 2 раза в день подкожно рингером. Хотелось уточнить действительно ли там необходима при уро цистите доза 20-25 мг на кг и обычная доза не поможет? Не может ли она навредить кошке и отбить апетит словно она потеряла нюх и вкус и замечает только воду? Если идет хороший отклик на аб широкого спектра, каким еще можно заменить не давая такую огромную дозу? На данный момент амоксиклав пришлось отменить тк у кошки был приступ удушья именно вовремя оч медленного введения третьей дозы в вену и началась аллергия сыпь на ушах. Смогли кошку привести в норму. Но нас предупреждали что на амоксиклав в вену может быть анафилактический шок Вторые сутки после отмены амоксиклав и после отмены инфузий ( все вместе давалось и делалось 5.5 дней), пока моча и походы в туалет ок, моча прозрачная без запаха, пить стала меньше, писает 3 раза в сутки. Возможно ли долечить как перестраховка макмирор или тем же фурадонином, хоть он был менее эффективен чем амоксиклав или все же если надо аб и долго?
На инсулин нормальный отклик, первая доза через 12 ч после 1.5 ед с 27 сахар опустился до 4.6. Но без новой инъекции поднялся вечером как был и кошка стала более вялая. Пока подбираем дозу.

Дополняю моча 0.5.05.25 стала уже не такая прозрачная, нокрови и запаха нет. Кошка начала есть, правда пока только мясохочет.

Возраст: 12

Хронические болезни: астма много лет на ингаляциях, чуткий жкт с рефлюсом желчи, диабет недавно поставлен.
05 мая 2025, 22:58
Щербатых Виолетта Владиславовна Написать
Щербатых Виолетта Владиславовна Терапевт
Был в сети: 02 апреля, 11:40
Здравствуйте. У кошки почечная недостаточность, но в целом, не критичная (фосфор и креатинин не столь высок, чтобы вызывать отсутствие аппетита, если только креатинин не снижен ложно, из-за слишком низкой мышечной массы-если кошка не чрезмерно худая). Возможно аппетит снижен в виду начала развития ацидоза (в виду не лечанного сахарного диабета). Хорошо бы, конечно, посев мочи (чтобы точно знать какую инфекцию и чем надо ее лечить). Но т.к. антибиотикотерапия уже начато, то лучше ее бы и придерживаться. Действительно, высокие дозы пенициллинов удачнее лечат инфекцию мочевыводящих путей. Т.к. развилась аллергия на в/венный Амоксиклав, то перейдите тогда на Синулокс/Амоксигард подкожный или пероральный Синуксол, чтобы доделать курс антибиотика. Наличие глюкозы в моче ложно повышает ее плотность и трудной сделать вывод о том, стала ли моча лучше или хуже на фоне антибиотика. Но действовать придется здесь эмпирически. Мясная диета будет провоцировать развитие почечной недостаточности, но пока аппетит снижен можно давать и мясо и использовать хотя бы Алмагель (для снижения фосфора в еде).
08 мая 2025, 17:28
alisa003 Написать
alisa003 Пользователь
Санкт-Петербург Был в сети: 01 июня, 20:44
Спасибо большое за ответ! После мы пересдавали анализы, креатинин и мочевина немного понизились, а вот фосфор стал 3.6 вместо 3.1 в анализах что прикладывала, воспаление тоже спало. Подскажите пожалуйста
1. Как использовать альмагель или чем еще можно безопасно и не очень дорого вывести лишний фосфор. Если карбонат лантана нефроланвет паста, то хватит ли ей на ее 8 кг 8 гр? Но сама кошка 3-4 кг, остальное жир.
2. Что можно подавать для усиления перельстатики , амоксиклав двойная доза вызвал запор после поноса, микро лакс простимулировал стул но после него не какала 2 дня.
Врач сказала давать дюфалак для стула, но кошка диабетик и на нем даже от 4 мл с 6 за сутки до этого, глюкоза до 33 поднялась , хотя без дюфалака уже подобрали дозу инсулина и все шло ок даже низко было.
3. Могли ли амоксиклав или карнам нарушить вкус и обоняние? Аппетит к кошке также не возвращается после двойной дозы амоксиклава 5 .5 дней и одной большой дозы 1/2 таблетки корнам у нее нарушился нюх после отмены амексиклав нюх вернулся через сутки но словно нюхает, а потом видит и разочаровывается. До начала двойной дозы амоксиклав и корнам кошка отлично ела и была более менее активно. По анализам врач сказала что нет ничего чтобы быть вялой.
13 мая 2025, 00:29

Только зарегистрированные пользователи имеют возможность начинать новые темы. Зарегистрируйтесь и войдите на сайт, введя свои логин и пароль справа в окне, и Вы сможете начать новую тему.

Прежде чем задать вопрос на форуме, ознакомьтесь с темой: "Как правильно задать вопрос вет.врачу", а также со списком ответов на часто задаваемые вопросы, это поможет Вам сэкономить Ваше время и быстрее получить ответ на Ваш вопрос.
Обратите особое внимание на документ: Симптомы заболеваний животных. Возможно, в Вашей ситуации нельзя ожидать ответа на форуме, а нужно срочно вызывать врача или везти животное в ветеринарную клинику!

Прежде чем задать вопрос на форуме, ознакомьтесь со следующими разделами, это поможет сэкономить Ваше время и быстрее получить отсвет на ваш вопрос:

Внимание! Обратите особое внимание на документ «Симптомы заболеваний животных». Возможно, в Вашей ситуации нельзя ожидать ответа на форуме, а нужно срочно вызывать врача или везти животное в ветеринарную клинику!

Удалить тему

Удалить тему "уро цистит у кошки "?

Удалить сообщение

Удалить сообщение?